Operație în premieră la Spitalul Județean - Humerus fixat cu o tijă de titan
Un pacient de 16 ani, cu fractură de humerus, a fost operat pe 20 aprilie, la Spitalul Județean, cu ajutorul unei tehnici chirurgicale care a presupus fixarea osului cu o tijă de titan. Operația a fost efectuată în premieră în județul Bihor. În țară, singurele spitale în care se mai efectuează sunt cele din Cluj-Napoca, București, Timișoara, Iași și Pitești.
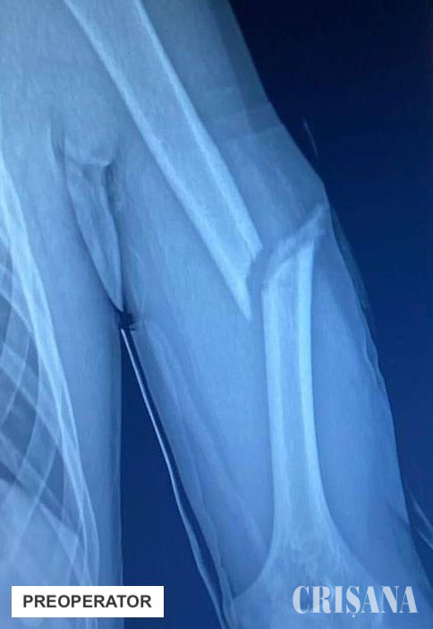
Un pacient în vârstă de 16 ani s-a prezentat la Spitalul Clinic Județean de Urgență Bihor cu o fractură diafiză humerală cu deplasare, în urma unui accident rutier. Osul lung al brațului (humerusul) era fracturat, iar cele două segmente erau deplasate de la locul lor. Adolescentul trebuia operat pentru repunerea la loc a fragmentelor osoase fracturate, soluțiile clasice pentru tratamentul ortopedic al fracturilor pediatrice implicând fie montarea unei plăci cu șuruburi, sau utilizarea tijelor elastice. În acest caz însă, din cauza vârstei de peste 15 ani, pacientul avea cartilajul de creștere închis, ceea ce reprezintă un factor de incompatibilitate cu variantele chirurgicale menționate.
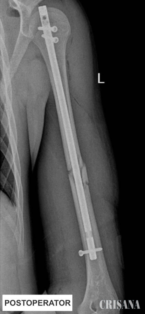
Așadar, echipa operatorie a decis să efectueze, în premieră județeană, reducerea ortopedică închisă cu osteosinteză prin tijă zăvorâtă din titan pentru un pacient pediatric. Sub control radiologic, s-a efectuat reducerea ortopedică închisă a osului fracturat, iar apoi s-a introdus o tijă de titan pentru fixarea fragmentelor osoase.
Primul pas a presupus repunerea la loc a celor două fragmente ale osului fracturat. Cu ajutorul unor truse speciale și a ghidajului radiologic, chirurgii au introdus tija pentru a asigura poziția osului fracturat. Acest abord a presupus efectuarea de radiografii repetate în timpul intervenției pentru a se vedea unde este tija și cât de aproape este de focarul de fractură. După poziționarea acesteia pe os, următorul pas a fost montarea a 3 șuruburi pentru ancorarea tijei în humerus. Tija de titan este de calibrul canalului medular, având dimensiuni de 28 cm lungime 8 phi în diametru. Intervenția a fost una de complexitate ridicată, humerusul fiind un os foarte greu de redus. Operația a avut loc în data de 20 aprilie, a durat o oră și jumătate și a decurs bine.
În momentul de față, starea adolescentului este foarte bună, acesta fiind deja externat. Datorită tehnicii operatorii, nu a mai fost necesar ca brațul să fie imobilizat cu gips, iar evoluția pacientului este favorabilă. Acesta a putut deja să își reia activitatea obișnuită de de zi cu zi, inclusiv să meargă la școală. Peste șase luni, pacientul va trebui să revină pentru scoaterea tijei.
Comparativ cu alte variante de tratament chirurgical, această tehnică operatorie presupune o serie de avantaje pentru pacient, precum: timp operator redus, minimizarea complicațiilor intraoperatorii, respectiv postoperatorii și recuperarea mai rapidă a pacientului, nefiind nevoie de gipsarea brațului. Abordul este minim invaziv, toate cele trei incizii având dimensiunea de maxim 3 centimetri.
Pe lângă faptul că este o intervenție în premieră la nivelul județului Bihor, datorită nivelului de complexitate ridicat, aceasta se mai face doar în marile centre medicale din țară (Cluj-Napoca, București, Timișoara, Iași, Pitești). La nivelul Spitalului Clinic Județean de Urgență Bihor, această tehnică operatorie a fost introdusă de către dr. Alexandru Pîrvan, medic specialist ortopedie pediatrică. Pîrvan a învățat această tehnică la Centre Hospitalier de Luxembourg, unde și-a desfășurat o parte din pregătirea de rezidențiat.
Echipa operatorie a fost compusă din dr. Alexandru Pîrvan, medic specialist ortopedie pediatrică și doi medici rezidenți de ortopedie-traumatologie: dr. Barna Markus și dr. Cătălin Țapoș. Intervenția s-a desfășurat cu pacientul intubat oro-traheal, anestezia generală fiind realizată de doctorii Adina Nedelcu și Lăcrimioara Șuiugan, medici specialiști ATI.
În cadrul Secției Clinice Chirurgie și Ortopedie Pediatrică, condusă de dr. Daniel Băloiu, medic primar chirurgie și ortopedie pediatrică, se efectuează intervenții chirurgicale din ce în ce mai diversificate și complexe, care acoperă patologii vaste ale pacientului pediatric (0-18 ani). Grație susținerii din partea Managerului spitalului, dr. Gheorghe Carp, secția dispune de dotările și materialele care permit efectuarea tratamentului chirurgical conform celor mai avansate tehnici, punându-se accentul pe un abord minim-invaziv, care să permită recuperarea cât mai bună și rapidă a pacienților.



Comentarii
Nu există nici un comentariu.